MIH
Although MIH molars are well known by paediatric dentists and their occurrence is related in severe cases to major. We are enacting a pioneering program to make affordable housing mandatory and permanent wherever new housing capacity is approved through land use actions.

Treatment Decisions On Molar Incisor Hypomineralization Mih By Norwegian Dentists A Questionnaire Study Semantic Scholar
Zheng Xiancong the one in the middle.

MIH. Explore os vídeos mais recentes com as hashtags. In humans the gene for AMH is AMH on chromosome 19p133 while the gene AMHR2 codes for. Abbreviation for melanotropin release-inhibiting hormone.
MIH molars are fragile and caries can develop very easily in those molars. An integral LCD enables easy programming with the facility to memorise up to 20 probe positions. Looking for online definition of MIH or what MIH stands for.
The MIH features an autojoint probe mount for fast repeatable probe changing. The MIH Alliance has its own CEO. With an attitude and authority built on five decades of denim experience the label is known for its.
22063 likes 8 talking about this. Local electrician based in the Hampshire region with over 16 years experience in all aspects of the electrical industry. The MIH is a drive-by-wire platform engineered to produce EVs that rely mainly on electronics to control a wide range of vehicle operations.
A Naspers Company MIH Myriad International Holdings BV is the offshore investment armholding company of the Naspers Group. Sample-size-weighted annual failure rates were estimated where appropriate. 1 An open-source platform that allows for a collaborative ecosystem for developers to work together with their partners to provide the seamless integration of autonomous.
Mih Jeans is the London girls denim brand. This ensures compatiblity with most Renishaw probes except multiwire eg. HH is a leading technological solution provider which has leveraged its expertise in software and hardware to integrate its unique manufacturing systems with emerging technologies.
As a key initiative of Mayor de Blasios housing plan Housing New York the Department of City Planning is launching a Mandatory Inclusionary Housing program that will require through zoning actions a. View a one-page summary of the MIH program as adopted in English or Spanish. Two authors independently searched and extracted records.
In November 2013 MIH and Naspers elected to use solely the Naspers logo and corporate brand for public correspondence discontinuing use of. Mih mih_007 mihaela mihedits miha mihir mih_bauman mih. Assista a conteúdos populares dos seguintes criadores.
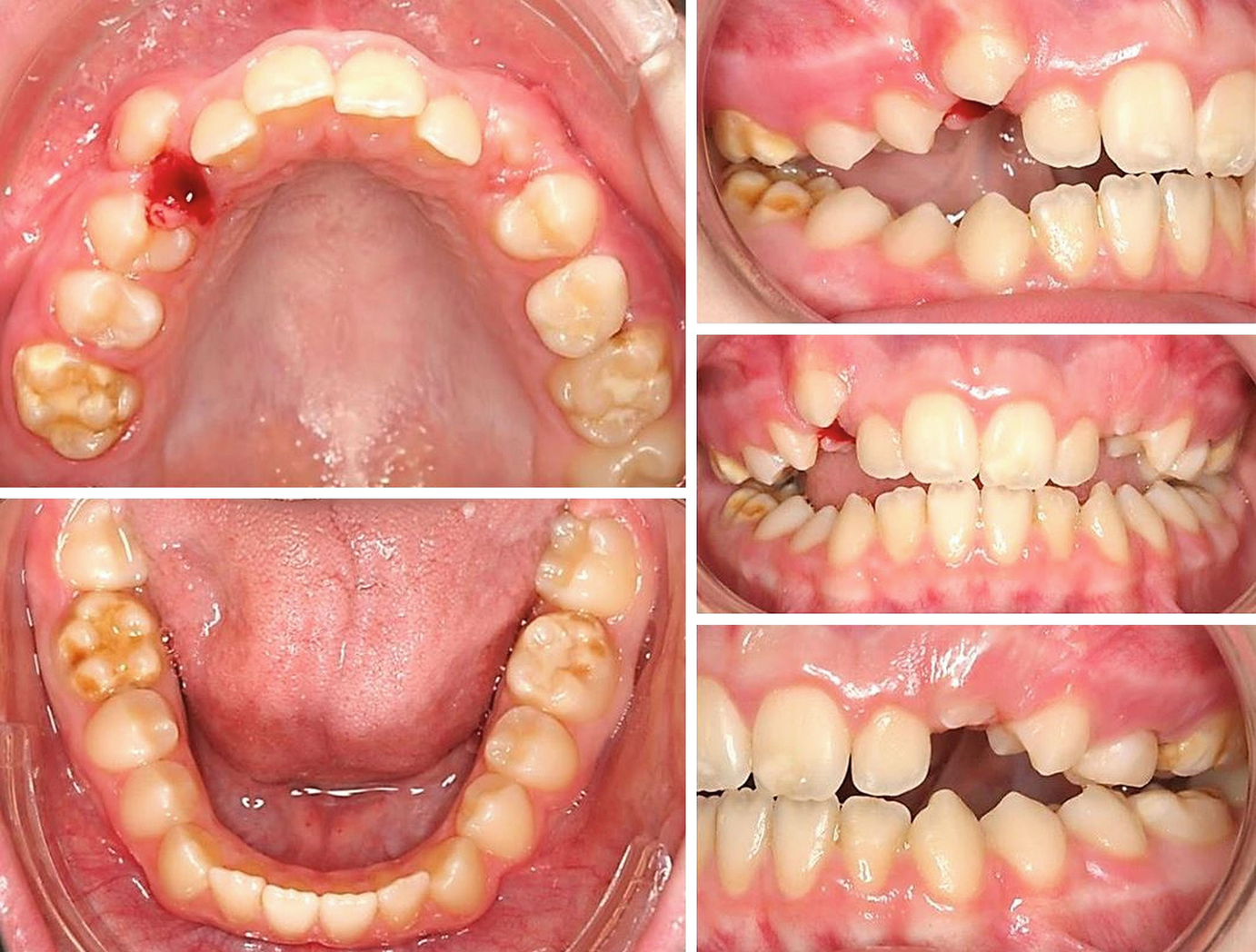
He was one of the co-founders of Weilai which you know as Nio. Anti-Müllerian hormone AMH also known as Müllerian-inhibiting hormone MIH is a glycoprotein hormone structurally related to inhibin and activin from the transforming growth factor beta superfamily whose key roles are in growth differentiation and folliculogenesis. Recent data indicates that molar-incisor hypomineralisation MIH is a frequently encountered dental condition worldwide.
MIH Compliance and Capacity Form with CORI Form if applicable Please note that forms must be notarized based on a government-issued photo ID and include the signature of a Notary Public with the stamp or seal on page 3. 351 likes 1 talking about this. Descubra vídeos curtos sobre mih no TikTok.
Adoomyadoomyee xxcharlyfigetsxxcharlygpo 𝙼𝙰𝙳𝙴 𝙸𝙽 𝙷𝙴𝙰𝚅𝙴𝙽officialmadeinheaven Adoomyadoomyee Dragondragonseye_0. MIH is listed in the Worlds largest and most authoritative dictionary database of abbreviations and acronyms The Free Dictionary. MIH Alliance Membership Application Agreement Hon Hai Precision Industry Co Ltd.
MIH Program application fee and remittance form. MIH Electrical Solutions Eastleigh. More and more IC designers in Taiwan are keen to join the Foxconn-led MIH open EV platform and seek to cash in on the immense market demand for automotive chips according to industry sources.
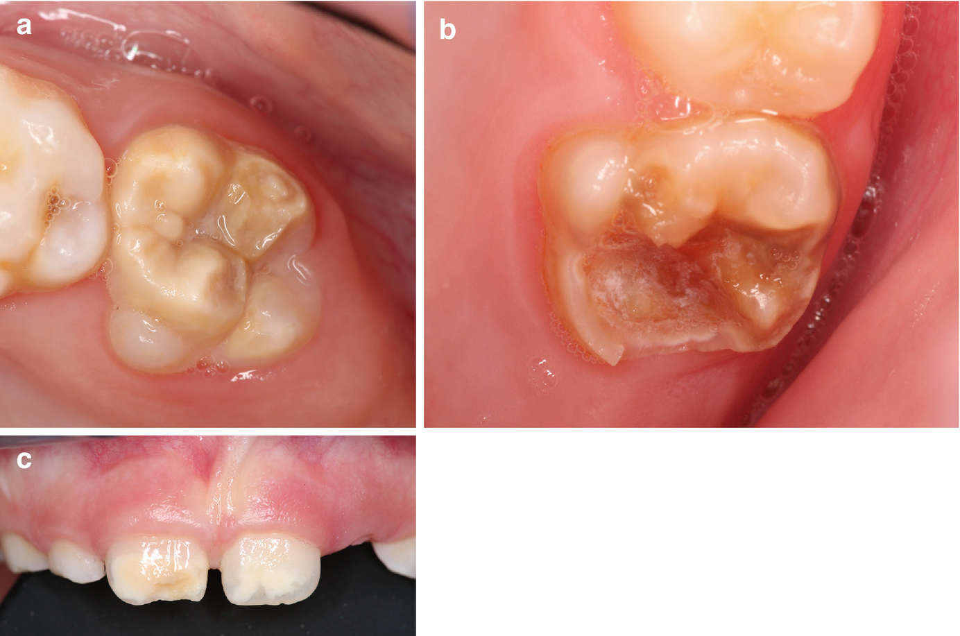
The condition could be associated with dental complications that might. Molar Incisor Hypomineralisation MIH is defined as a hypomineralisation of systemic origin of one to four permanent first molars frequently associated with affected incisors. This provides two key advantages.
Mandatory Inclusionary Housing MIH We are in an unprecedented housing crisis and need more tools to counter market pressures we need to protect our neighborhoods now. View the zoning text amendment as adopted by the City Council. We systematically reviewed treatment modalities for MIH-affected molars and incisors.
Trials on humans with 1 MIH molarincisor reporting on various treatments were included. After retiring in August 2019 from Nio he joined Foxconn. MIH with ED Avoidance is an additional component of an approved MIH Program that allows for management of 9-1-1 patients as appropriate and in accordance with the DPH ED Avoidance Protocol in alternative settings including outpatient clinics psychiatric facilities and.
The MIH is designed for use with long probe extensions for larger components.

Molar Incisor Hypomineralisation Mih An Overview British Dental Journal

Pdf Molar Incisor Hypomineralisation Mih An Overview Semantic Scholar

Orthodontic Treatment Of Children With Class Ii Division 1 With Severe Mih Involving First Permanent Molars Extractions A Case Report Sciencedirect

Prevalence Of Mih Exceeds That Of Dental Caries Among Children In Germany Dental Tribune Europe
![]()
Interview Molar Incisor Hypomineralization A Silent Epidemic In Children

Molar Incisor Hypomineralisation Mih An Overview British Dental Journal

Upper Right Incisor Showing Both Mild And Moderate Mih Lesions Download Scientific Diagram

A Questionnaire Study On Perception And Clinical Management Of Molar Incisor Hypomineralisation Mih By Irish Dentists Springerlink

Mih Or Hypomineralization Of Incisors And Molars Dentisti Vignato Vicenza

Molar Incisor Hypomineralisation Current Knowledge And Practice Sciencedirect

Molar Incisor Hypomineralisation Mih An Overview British Dental Journal

Extraction Of Mih Affected Molars And Orthodontic Space Closure Springerlink

Prevalence Of Molar Incisor Hypomineralization And Other Enamel Defects And Associated Sociodemographic Determinants In Indiana The Journal Of The American Dental Association

Treatment Decisions On Molar Incisor Hypomineralization Mih By Norwegian Dentists A Questionnaire Study Bmc Oral Health Full Text

Pacientes Con Mih Moderada Opacidades Demarcadas En Incisivos Y Download Scientific Diagram

Diagnosis Classifications And Treatment Strategies Of Mih Affected Teeth Springerlink

Mih Practice Based Treatment Recommendations 3m Dental Blog

Interview Molar Incisor Hypomineralization A Silent Epidemic In Children
